GÖTEBORG, Švedska: Iako su zabilježene visoke stope preživljavanja za dentalne implantate, mogu se pojaviti biološke ili tehničke komplikacije koje zahvaćaju implantat, tkivo koje ga okružuje ili suprastrukturu, što rezultira dodatnim troškovima liječenja. Nedavno objavljeno istraživanje provedeno na Sveučilištu u Göteborgu za doktorski rad procijenilo je učestalost i posljedične troškove takvih komplikacija.
Prema švedskoj agenciji za socijalno osiguranje, više od 30 000 pacijenata godišnje u Švedskoj prima protetsku terapiju uz potporu implantatima. Istraživanje se temeljilo na nasumično odabranim pacijentima iz registra Agencije za socijalno osiguranje, a provela ga je dr. Karolina Karlsson u sklopu svog doktorskog istraživanja iz odontologije na Sveučilištu u Göteborgu. Analizirani su dentalni kartoni i rendgenske snimke 2765 odraslih pacijenata. Od toga je 596 osoba klinički pregledano devet godina nakon liječenja dentalnim implantatima.
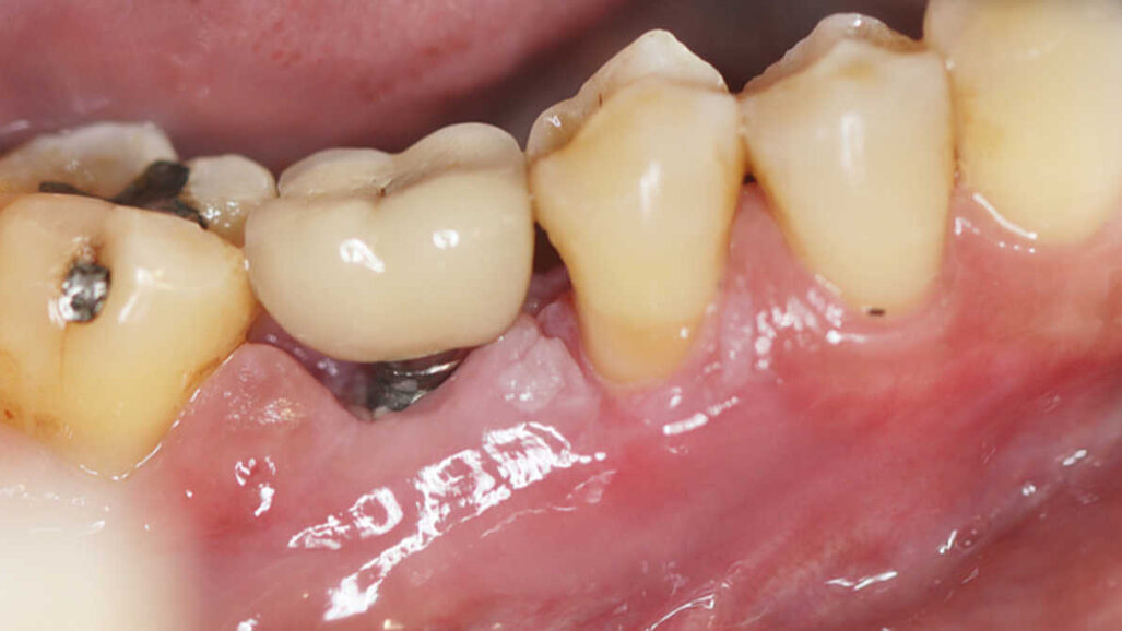
Od ovih 596 pacijenata, 42 % zahvatila je barem jedna biološka ili tehnička komplikacija tijekom razdoblja praćenja. Ustanovljeno je da su tehničke komplikacije najčešće, pri čemu je jedna četvrtina pacijenata doživjela ovu vrstu komplikacija. Najčešće tehničke komplikacije bile su lom obložne keramike (11,0 %), zatim otpuštanje vijaka (9,1 %) i odcementiravanje (5,9 %). Lomovi implantata ili implantatnih nadogradnji uočeni su rijetko.Karlsson je odredila opseg restaurativne terapije kao najjači pokazatelj rizika za tehničke komplikacije.
Kao druga najčešća komplikacija zabilježen je periimplantitis (19,0 %). Liječenje bolesti samo nekirurškim metodama, u vidu stručnog čišćenja i uputa o oralnoj higijeni, pokazalo se nedostatnim. Dodatno kirurško liječenje, međutim, moglo je spriječiti daljnje napredovanje.Gubitak implantata, koji je zabilježen kod 8 % sudionika, rezultirao je najvećim ukupnim troškom (2403 USD/2012 EUR), a zatim slijede kombinacije različitih komplikacija (2347 USD). Trošak tehničkih komplikacija i periimplantitisa bio je sličan s 1614 USD i 1619 USD.U sveučilišnom priopćenju za tisak, Karlsson je komentirala nalaze istraživanja: "Rezultati pružaju stomatološkim stručnjacima i pacijentima važne informacije, omogućujući im da procijene i smanje rizik od komplikacija povezanih s implantoprotetskom terapijom."
U fazi planiranja liječenja potrebno je obratiti pozornost na čimbenike rizika za nastanak komplikacija. To bi moglo pomoći u sprječavanju komplikacija, što bi rezultiralo dobrobiti za pacijente. To bi također moglo uštedjeti troškove i tako koristiti društvu općenito, navela je Karlsson u svom radu.Dodala je da treba osigurati praćenje implantata kako bi se omogućilo rano otkrivanje periimplantitisa i pružanje adekvatnih mogućnosti liječenja. U slučajevima izraženije i trajnije bolesti potrebno je osigurati kiruršku intervenciju kako bi se bolest uspješno riješila i spriječila daljnja progresija, naglasila je.
Doktorsku disertaciju pod naslovom "Implant-supported Restorative Therapy in a Swedish Population: Complications and Cost Evaluations" (Restaurativna terapija podržana implantatima u švedskoj populaciji: komplikacije i procjene troškova) objavila je u svibnju 2021. na Sahlgrenskoj akademiji Sveučilišta u Göteborgu.
Oznake:
Primjena socket shield tehnike
Estetski i funkcijski zadovoljavajuća i brza rehabilitacija nakon traume prednjih zubi predstavlja izazov za većinu ...
LIVERPOOL, Engleska: Dentalni turizam bilježi značajan rast posljednjih godina, osobito među mlađim demografskim skupinama pod utjecajem trendova na ...
WHITE OAK, SAD: Američka uprava za hranu i lijekove (FDA) ažurirala je svoje smjernice za upotrebu dentalnog amalgama u zubnim restauracijama. Agencija je...
Nakon nekoliko godina iščekivanja, tvrtka Ivoclar najavila je novo izdanje najvećeg regionalnog dentalnog simpozija: Competence in Esthetics 2026 održat...
U ovoj seriji članaka bavim se svakim od pet osnovnih sustava koje stomatolozi i zubni tehničari moraju imati i dajem savjete o tome kako se najbolje mogu...
Američko tržište dentalnih slikovnih prikaza prolazi transformaciju potaknutu novim tehnologijama i promjenjivim zahtjevima kliničara. Inovacije u ...
HONG KONG, Kina: Vlaga je jedan od najvećih izazova za zubne ispune jer smanjuje učinak ljepila. Kako bi prevladali ovu zapreku, istraživači sa ...
BURNABY, Britanska Kolumbija, Kanada: Pacijenti sve više traže imedijatno opterećenje dentalnih implantata, odnosno izrada restauracije u okluzijskoj ...
PORTOVIEJO, Ecuador: Koncept oseointegracije revolucionirao je liječenje bezubih pacijenata. Međutim, kako su se primjene širile, komplikacije su se ...
PARIZ, Francuska: Novo izvješće o stanju zdravstvene zaštite u EU-u pokazalo je da manjak radne snage i starenje populacije doprinose “promjeni ...
Webinar uživo
sri. 3 lipnja 2026
7:00 (CET) Zagreb
Webinar uživo
čet. 4 lipnja 2026
8:00 (CET) Zagreb
Webinar uživo
pon. 8 lipnja 2026
6:00 (CET) Zagreb
Webinar uživo
pon. 8 lipnja 2026
7:00 (CET) Zagreb
Dr. Anthony Mak B.D.S, Prof. Marleen Peumans
Webinar uživo
pon. 8 lipnja 2026
8:00 (CET) Zagreb
Webinar uživo
sri. 10 lipnja 2026
5:00 (CET) Zagreb
Webinar uživo
sri. 10 lipnja 2026
8:00 (CET) Zagreb
Nacho Fernández-Baca DDS, MSc
To post a reply please login or register