Primjena socket shield tehnike
Estetski i funkcijski zadovoljavajuća i brza rehabilitacija nakon traume prednjih zubi predstavlja izazov za većinu doktora dentalne medicine i pacijenata. Ako se zub ne može očuvati konzervativnom terapijom, imedijatna implantacija privremenom opskrbom često je idealno rješenje. U estetskoj zoni gubitak vestibularne koštane lamele, a time i vestibularne razine s promjenama kontura komplikacija je koje se pribojavaju kliničari. Socket shield tehnika metoda je primarne prevencije gubitka tkiva koju su 2010. etablirali Hürzeler i sur.1.
Kod estetske implantoprotetske restauracije skladan profil mekog i tvrdog tkiva u prvom je planu i postiže se što cjelovitijim očuvanjem periimplantatnog tkiva2,3. Međutim, u prednjem segmentu kliničar mora očekivati komplikacije nakon implantacije. Tu spadaju npr. recesija mekog tkiva i gubitak vestibularne konture grebena koji su povezani s kompromitiranom estetikom4,5. Pogotovo u koronarnom dijelu alveole dolazi do horizontalne i vertikalne promjene dimenzija6. Istraživanje Roea i sur. pokazalo je da se u roku od jedne godine od imedijatne implantacije može očekivati gubitak vertikalnog volumena kosti od 0,82 mm. Što se tiče gubitka periimplantatnog mekog tkiva dvanaest mjeseci nakon imedijatne implantacije različiti autori navode gubitak od 0,25 do 0,7 mm, ovisno o kirurškoj tehnici4,7.
Tanka bukalna koštana lamela i gubitak parodonta nakon vađenja zuba presudni su etiološki čimbenici u recesiji mekog i tvrdog tkiva2,8. Da bi se postigao stabilan i estetski povoljan rezultat imedijatnom implantacijom u prednjem segmentu, razvijene su i opisane različite tehnike: ugradnja implantata u blizini palatinalne alveolarne stijenke u kombinaciji s primjenom nadomjesnog koštanog materijala u praznom prostoru između implantata i bukalne lamele2,7,9, transplantati vezivnog tkiva radi usklađivanja kontura mekog tkiva10 ili augmentacija kosti na vestibularnoj strani ekstrakcijske alveole11.
Socket shield tehnika metoda u kojoj se fragment vestibularnog korijena ostavlja u alveoli kako bi se sačuvala lamina dura1. U njoj se nalaze parodontna vlakna. Nakon vađenja zuba ona se gube. Kao rezultat, vađenje zuba inducira resorpciju lamine dure uzrokujući stanjivanje bukalne koštane lamele i na kraju vestibularnog mekog tkiva12. Te procese resorpcije i s time povezan estetski nezadovoljavajući rezultat kliničari pokušavaju izbjeći s pomoću socket shield tehnike.
Prikaz slučaja
Pacijent u dobi od 66 godina doživio je traumu s posljedičnom frakturom korijena i palatinalnom dislokacijom zubi 11 i 21. Zubi su u okviru hitnog zbrinjavanja reponirani i splintirani (Slika 1.). Na pojedinačnoj rendgenskoj snimci zubi 11 i 21 uočava se intraalveolarni poprečni lom (Slika 2.). Prema aktualnim smjernicama takav lom u početku ne zahtijeva endodontsko liječenje ako se može isključiti da frakturna linija preko gingivnog sulkusa, odnosno parodontne pukotine komunicira s usnom šupljinom.
Budući da se to nije moglo isključiti za zub 21, u narednim posjetima provedeno je endodontsko liječenje s naknadnim punjenjem korijenskog kanala s MTA-om do pukotine (Slika 3.). Budući da je pacijent izrazio želju da se ne narušava estetika, za splintiranje je upotrijebljena palatinalna udlaga od PMMA-e (Slika 4.). Nakon tri mjeseca uočena je sve veća promjena boje zuba 21 i perzistentna pomičnost II. stupnja (Slika 5.). Nakon detaljnog informiranja o raznim mogućnostima liječenja kliničar i pacijent donijeli su odluku o implantoprotetskoj terapiji. CBCT snimljen tijekom planiranja terapije (Slika 6.), pokazao je blizak odnos prema vestibularnoj koštanoj lameli (položaj korijena I. razreda)14. Da bi se stvorio stabilan profil mekog i tvrdog tkiva i pacijentu što prije osigurao dobar estetski rezultat, kliničar se odlučio na imedijatnu implantaciju uz primjenu socket shield tehnike.
Slika 1. Početna situacija: Frontalni prikaz reponiranih i splintiranih zubi 11 i 21
Slika 2. Početna situacija: Pojedinačne snimke zubi 11 i 21 s jasno vidljivim lomom korijena
Slika 3. Stanje nakon punjenja korijenskog kanala do frakture s MTA-om na zubu 21
Slika 4. Splintiranje s pomoću udlage od PMMA-e palatinalne strane
Slika 5. Stanje nakon tri mjeseca: promjena boje na zubu 21 cervikalno
Slika 6. CBCT prije implantacije: vrlo tanka bukalna koštana lamela i bliski odnos korijena s korteksom
Kirurški pristup
U listopadu 2019. provedena je imedijatna implantacija u lokalnoj anesteziji. Najprije su krune zubi 11 i 21 zelenim dijamantnim svrdlom odrezane do razine gingive, a zatim bukalna zubna lamela odvojena od ostatka korijena tako da je bukalno ostao samo tanki fragment zuba (ljuska). Ostatak korijena oprezno je izvađen, a preostali fragment zuba prepariran je tako da bude u obliku slova Ci oko 2 mm apikalno od željene granice sluznice. Zatim je alveola kiretirana i očišćena.
Nakon pravilne pripreme ležišta ugrađena su dva implantata Straumann BLT SLActive veličine 3,3 x 12 mm. Za augmentaciju kosti između implantata i zubnog fragmenta upotrijebljena je vlastita kost od koštane piljevine nastale tijekom preparacije ležišta. Za povoljan estetski rezultat važno je pridržavati se minimalne udaljenosti od 3 mm između dvaju implantata, odnosno 1,5 mm između implantata i prirodnog zuba. Time se može osigurati da se unatoč fiziološkim procesima resorpcije očuva dovoljno tvrdog tkiva oko implantata za stabiliziranje papile15.
Odmah nakon implantacije postavljen je laboratorijski izrađen privremeni nadomjestak koji je uz pomoć privremenih nadogradnji pričvršćen na implantate 12 i 22. Na postoperativno snimljenom ortopantomogramu uočava se pravilan položaj implantata (Slika 7.). Sljedećeg dana nakon implantacije pacijent je došao na kontrolni pregled. Rana je bila bez znakova upale i simptoma. Na Slici 8. vidi se stanje prvog dana postoperativno i vestibularni fragment zuba. Nakon dvanaest dana uspostavila se stabilna arhitektura sluznice s vestibularnom ljuskom (Slika 9.).
Slika 7. Postoperativni ortopantomogram: pravilan položaj implantata 11 i 21
Slika 8. Prvi dan postoperativno: vestibularna ljuska jasno je vidljiva
Slika 9. Dvanaest dana postoperativno: stabilne arhitektura sluznice i vestibularna ljuska
Definitivna opskrba
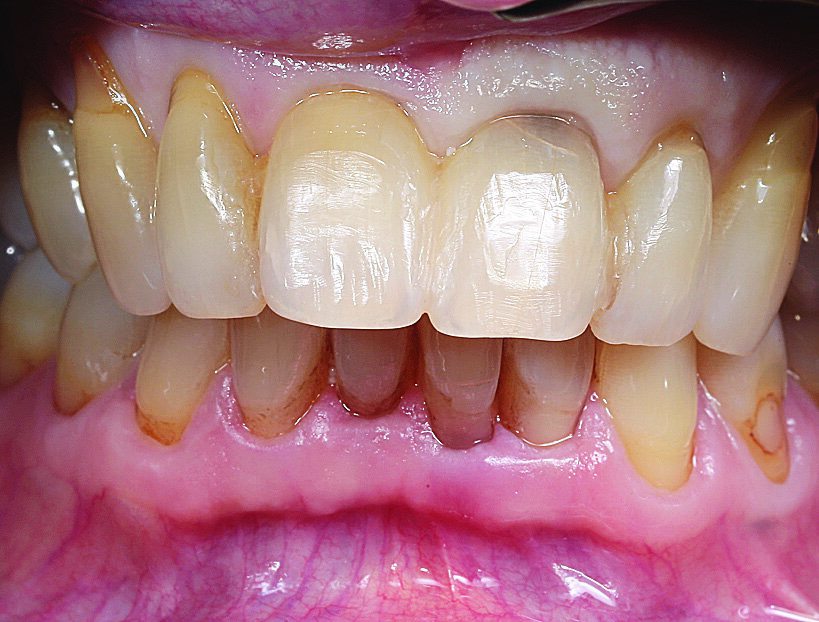
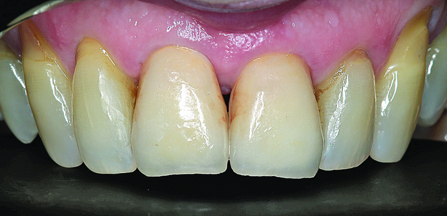
Dva mjeseca nakon implantacije uzet je otisak. Periimplantatno meko tkivo bilo je bez upale s lijepim izlaznim profilom. Fragment zuba jasno se vidi na pojedinačnoj rendgenskoj snimci, a razina interdentalne kosti i površina implantata ne ukazuju ni na kakve patološke promjene. Implantati su se stabilno oseointegrirali (Slika 10.). Otisak na implantatima uzet je materijalima Impregum™ (3M™ ESPE™), Permadyne™ (3M™ ESPE™) i individualnom žlicom za otiske. Kao definitivna opskrba dva mjeseca nakon implantacije izrađene su pojedinačne krunice od potpuno obložene cirkonij-oksidne keramike na titanijskim bazama (Slike 11. i 12.).
Rasprava
Ostavljanje fragmenta vestibularnog korijena kod socket shield tehnike nudi prednosti u očuvanju estetski značajne konture vestibularnoga grebena i periimplantatnog tvrdog i mekog tkiva. Lamina dura i parodontna vlakna ostaju očuvani12,18, smanjuje se rizik od smanjene perfuzije vestibularne kosti nakon vađenja zuba16, a položaj implantata može biti gotovo identičan kao prethodni položaj zuba.
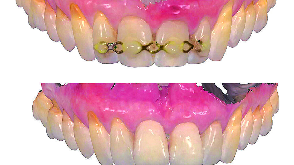
U prikazanom slučaju radi ilustracije su prije i poslije implantacije snimljeni intraoralni skenovi s pomoću skenera TRIOS (3Shape) (Slika 13.a i b14). Usporedbom prije i poslije prepoznaje se jedva promijenjen tijek mekog tkiva, a time je postignut estetski i prirodan krajnji rezultat. Aksijalni nagib prednjih zubi također je usklađen. Predstavljena metoda povećava predvidljivost estetskog ishoda, međutim, krije neke teškoće: kod dugačkog korijena, ograničena duljina rotirajućeg dijamantnog svrdla uzrokuje probleme u preparaciji fragmenta vestibularnog korijena. Roe i sur. to zaobilaze tako da vestibularno u razini vrha korijena fenestracijom prikažu to područje17. Budući da je za to potrebno odići mukoperiostalni režanj zbog čega je šav neizbježan, dolazi do stvaranja vestibularnog ožiljka17. Procedura ima smisla ako se umjesto toga ne može izvesti preparacija korijenskog fragmenta, a time i socket shield tehnika. Općenito bi terapeut trebao postupiti minimalno invazivno.
Klinička i histološka istraživanja s ovom tehnikom pokazuju obećavajuće rezultate i u pogledu izostanka komplikacija i s obzirom na estetski ishod1,18-21. Međutim, još nedostaju istraživanja s visokom razinom evidencije u pogledu dugoročne stabilnosti.
Slika 10. Pojedinačna snimka zuba nakon dva mjeseca: vestibularni fragment još uvijek je prepoznatljiv.
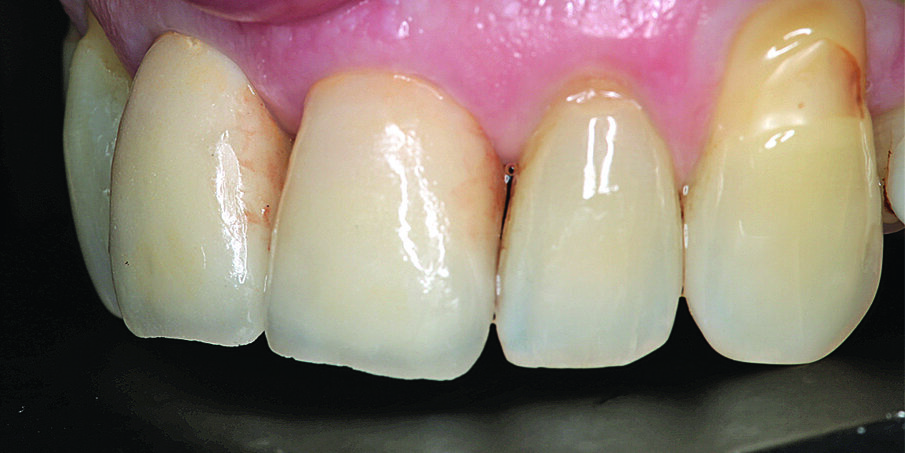
Slike 11 i 12. Definitivna protetska opskrba zubi 11 i 21: cirkonij-oksidne krunice na titanijskim bazama.
Slika 13.a i b: Usporedba profila mekog tkiva prije (gore) i poslije (ispod) implantacije s pomoću intraoralnog skena
Slika 14. Usporedba tijeka gingive prije (gore) i poslije (dolje) implantacije s pomoću intraoralnog skena
Sukob interesa i zahvale
Autori nemaju financijski interes od spomenutih proizvoda u ovom radu. Velika hvala Alexandru Folzu za izradu definitivnih nadomjestaka prikazanih u radu.
Napomena: Popis literature dostupan je na upit.
Oznake:
Pod vodstvom Njemačkog društva za očuvanje zubi (Deutsche Gesellschaft für Zahnerhaltung, DGZ) i Njemačkog društva za stomatologiju, oralnu i ...
GÖTEBORG, Švedska: Iako su zabilježene visoke stope preživljavanja za dentalne implantate, mogu se pojaviti biološke ili tehničke komplikacije koje ...
Kao doktor dentalne medicine brzo dolazite u iskušenje da se usredotočite isključivo na zub. Ali jesu li oblik i boja zuba jedine značajke koje utječu ...
Izvor: Dental Tribune International
MANGALORE, Indija: Digitalni dizajn osmijeha sve se češće oslanja na umjetnu inteligenciju (UI), što otvara pitanja ...
BIRMINGHAM, UK: Otkako su predstavljeni prije nekoliko godina, električni romobili uživaju sve veću popularnost u urbanoj mobilnosti diljem svijeta. S ...
U ovoj seriji članaka bavim se svakim od pet osnovnih sustava koje stomatolozi i zubni tehničari moraju imati i dajem savjete o tome kako se najbolje mogu...
OSAKA, Japan: Do 2030. jednostavan lijek mogao bi pomoći pacijentima s hipodoncijom da im izrastu zubi koji im nedostaju. Pionirski istraživač u Japanu ...
U dinamičnom svijetu poduzetništva, ističu se oni koji ne samo da prate trendove nego ih i stvaraju. Naša sugovornica, Sanela Drobnjak, upravo je takva ...
Serija članaka o pet osnovnih sustava za poboljšanje upravljanja ordinacijom.
U prethodnim člancima ove serije spominjao sam temeljno djelo „The E-Myth...
U prethodnim člancima ove serije spominjao sam temeljno djelo “The E-Myth Revisited” Michaela Gerbera. Proučavao sam financijske sustave u ...
Webinar uživo
uto. 19 svibnja 2026
5:00 (CET) Zagreb
Webinar uživo
uto. 19 svibnja 2026
7:00 (CET) Zagreb
Prof. Dr. med. dent. Ivo Krejci
Webinar uživo
sri. 20 svibnja 2026
1:00 (CET) Zagreb
Dr. Graham Carmichael BDSc (Hons), DClinDent (Pros), FRACDS, Dr. Robert Gottlander DDS
Webinar uživo
sri. 20 svibnja 2026
3:00 (CET) Zagreb
Webinar uživo
sri. 20 svibnja 2026
5:00 (CET) Zagreb
Webinar uživo
sri. 20 svibnja 2026
7:00 (CET) Zagreb
Prof. Dr. med. dent. Tim Joda PhD, MSc, eMBA
Webinar uživo
čet. 21 svibnja 2026
6:00 (CET) Zagreb
Dr. Leonardo Muniz DDS, MSC
To post a reply please login or register