Kao doktor dentalne medicine brzo dolazite u iskušenje da se usredotočite isključivo na zub. Ali jesu li oblik i boja zuba jedine značajke koje utječu na naš osmijeh? Svaka estetska sanacija započinje s analizom lica. Odnosno, naš pogled ne bi trebao biti usmjeren izravno na zub, nego bi pacijenta trebalo gledati i analizirati izvana prema unutra. Nakon lica pregledaju su usne i na kraju zubi. Ovaj je redoslijed važan kako ne bi propustili neke asimetrije zbog kojih cijela restauracija kasnije može izgledati neestetskom.
Za sanaciju zubi s ciljem postizanja optimalne crveno-bijele estetike, autori su razvili koncept u tri koraka koji bi trebalo odraditi korak po korak. Postupak se objašnjava u nastavku.
1. Analiza lica
Kada gledamo lice našeg pacijenta, presudne su prvenstveno dvije pomoćne ravnine: najprije, središnja linija i s druge strane bipupilarna linija. Eventualna odstupanja ovih dviju paralela nisu uvijek vidljiva golim okom. Stoga je tijekom pregleda neophodan fotostatus. To je jedini način da se procijeni hoće li položaj budućih prednjih zubi i okluzijska ravnina izgledati estetski. Minimalno odstupanje položaj središnje linije već može imati ozbiljne posljedice za estetiku jer je to prva fiksna točka koja svima odmah upada u oči. Središnja linija lica mora prolaziti kroz glabelu, vrh nosa i između središnjih sjekutića kako bi se stvorila skladna cjelokupna slika. Okluzijska ravnina mora biti paralelna s bipupilarnom linijom kako bi se postigao simetričan i skladan osmijeh1.
2. Analiza usana
U analizi usana postoje dva kriterija koja se moraju uzeti u obzir.
2.1 Usne u mirovanju
Općenito je poznato da se vidljivost gornjih prednjih zubi smanjuje za 1 mm svakih deset godina. To znači da je povećana vidljivost značajka mladosti koja se doživljava estetskom. Smjernice kažu da je kod muškaraca u prosjeku vidljivost zubi u mirovanju 1,91 mm, a u žena 3,40 mm. Budući da se ove proporcije doživljavaju lijepima, važno ih je reproducirati1,2.
2.2 Usne u pokretu (nasmiješene)
Krivulja osmijeha opisuje tijek usne u kretnji koji je obično konveksan. U slučaju skladnog osmijeha, incizalni bridovi gornjih prednjih zubi slijede tijek donje usne, koji je u idealnom slučaju također konveksno zakrivljen. Kod osmijeha formira se zona sjene između bukalnih površina gornjih zubi i kuta usana, takozvani bukalni koridor (Lombardi, 1973.)1. Njegova veličina uvelike ovisi o veličini maksilarnog zubnog luka, mišićima lica i širini osmijeha. Ako je zubni luk preširok, a bukalni koridor zbog toga premalen, osmijeh izgleda vrlo strogo i neljubazno. Ako je, međutim, zubni luk preuzak, vidljiv je preširok bukalni koridor zbog čega se zubi čine premali. Najvažnija stvar kod osmijeha je položaj gornjih prednjih zubi. To ne samo da ima estetski nego i fonetski razlog. Pravilan položaj prednjih zuba s jedne strane podupire donju usnicu koja bi se inače urušila, a s druge strane sudjeluje u tvorbi različitih glasova. Glasovi F i V nastaju uz pomoć gornjih prednjih zubi i donje usne. Samo ako gornji prednji zubi kod izgovora lagano dodiruju prijelaz između vlažnog i suhog dijela donje usne, moguća je savršena fonetika.
3. Analiza zubi
Kada smo napokon stigli do dentalne analize, postavlja se pitanje kako zapravo izgleda idealan zub.
3.1 Omjer visine i širine
Idealne proporcije su ključne za estetsku rekonstrukciju. Posebno atraktivnima smatra se odnos duljine i širine središnjih sjekutića od 75 do 85 posto2. Ako se ne poštuju te vrijednosti, zub djeluje ili prekratak i glomazan ili predugačak i uzak.
3.2 Odnos zuba prema zubu
Još prije više od 2000 godina poznati umjetnici pokušali su definirati proporcije koje djeluju posebno estetski. Zlatni rez je najpoznatiji (Euklid, 325. – 270. p.n.e.), a definiran je omjerom 0,6180. Iz toga proizlazi da bi proporcije zuba prema zubu trebale biti 1,6 naprema 1 naprema 0,6 (Slika 2.a i b) za optimalan učinak, pri čemu su manja odstupanja poželjna3.
3.3 Nagib osi zuba
Nagib osi zubi smanjuje se od središnjih sjekutića prema očnjacima4:
- jedinice su okomite
- dvojke su okomite prema mezijalnom nagibu
- trojke imaju mezijalni nagib
3.4 Tijek gingive
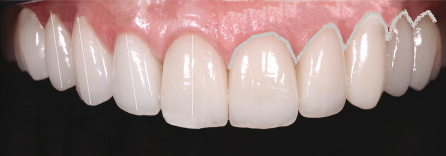
Neskladan tijek gingive ima izravan utjecaj na izgled zubi jer asimetrija za sobom povlači poremećen omjer visine i širine. Rub gingive slijedi caklinsko-cementnu granicu iz čega proizlazi valovit tijek5. Najapikalnija točka ruba gingive idealno bi se trebala nalaziti blago distalno od središta zuba. Tipičan valoviti rub gingive uglavnom je posljedica oblika papila u interdentalnom prostoru. Vrh papile od očnjaka prema središnjim sjekutićima smješten je sve više koronarno1.
Slika 1.
1. Središnja linija (okomita).
Središnji sjekutići ne smiju odstupati od središnje linije lica.
2. Bipupilarna linija
(vodoravno).
Interpupilarnom linijom određuje se idealan položaj okluzijske ravnine u gornjoj čeljusti.
3. Simetrija osmijeha
Simetrija osmijeha ovisi o položaju sjekutića, širini bukalnog koridora i simetriji usana.
Slika 3.a Usporedba početne situacije 2015. i 2019.
Slika 3.b Usporedba početne situacije 2015. i 2019.
Slika 4. Pomoćne ravnine za analizu lica
Slika 5. Kirurško produbljenje kruna
Slika 6. Prvi privremeni nadomjestak
Slika 7. Novi privremeni nadomjestak nakon cijeljenja
Slika 8.a-c Pričvršćivanje dviju krunica i osam ljusaka
Prikaz slučaja
Nakon ovog obilja informacija koje bismo trebali imati na umu prije svakog liječenja, svoj kontrolni popis odradit ćemo na posebnom slučaju.
Pacijentica je došla u našu ordinaciju 2015. Glavna pritužba odnosila se na neravne prednje zube. Nakon opširnog savjetovanja objasnili smo pacijentici da njezin problem nisu samo zubi 11 i 21. Nakon toga dugo je nismo vidjeli. U međuvremenu je bila kod kolege koji je udovoljio njezinu zahtjevu da restaurira samo jedan zub. Sada, neposredno prije vjenčanja, pacijentica je napokon željela svoj dugoočekivani savršen osmijeh.
Početna situacija
Izravnom usporedbom dviju slika ne vidi se nužno estetska optimizacija (Slika 3.a i b). Prilikom analize uočljivo da su zubi 11 i 21 opskrbljeni krunicama koje, međutim, niti imaju skladnu crveno-bijelu estetiku niti odgovarajući omjer visine i širine. Kao rezultat toga, osmijeh naše pacijentice još uvijek još uvijek djeluje neskladno. Kao što je ranije spomenuto, problem nije samo u prednjim zubima. Stoga se moramo zapitati to nedostaje za savršen osmijeh.
Uz nekoliko smjernica na ovo se pitanje može brzo odgovoriti i postaje jasno da je potrebna restauracija više od dvaju zubi (Slika 4.). Da bismo stvorili idealan osmijeh, potrebno je minimalno pomaknuti središnju liniju ulijevo, ispraviti horizontalnu asimetriju i proširiti bukalni koridor. Kao najvažniju i posljednju točku treba spomenuti da zbog visoke linije osmijeha (gummy smile) posebnu pozornost treba posvetiti gingivnoj simetriji. Nakon detaljne analize može se započeti planiranje. Kako dalje?
Preparacija uključujući kirurško produljenje kruna i gingivektomiju
Moramo shvatiti da zbog vidljivosti gingive kod pacijentice skladan rezultat u velikoj mjeri ovisi o tijeku gingive. To znači da u ovom slučaju treba uskladiti cijelu gingivnu krivulju. Na temelju naših smjernica jasno je da se okluzijska ravnina u drugom kvadrantu mora pomaknuti prema gore, što za nas znači da je u prvom kvadrantu gingivektomija dovoljna za korekciju gingive, međutim, u drugom kvadrantu potrebno je kirurško produljenje kruna (Slika 5.) kako bi se mogla održati biološka širina. Razdoblje cijeljenja kod takve operacije trebalo bi trajati oko osam tjedana kako bi se postigao stabilan rezultat i, ako je potrebno, izvršiti korekcija. Da bismo poduprli kirurški postupak, u istom posjetu prepariraju se zubi. I ovdje je važno držati se plana. U drugom kvadrantu mora se značajno smanjiti visina, dok je u prvom kvadrantu potrebna samo minimalna preparacija da bi se kompenzirala horizontalna odstupanja. Idealizirani privremeni nadomjestak (Slika 6.) lijepi se na preparirane zube, što ima prednost da je zajamčena kontrola terapije, a s druge strane pacijentica ordinaciju napušta s puno ljepšim osmijehom dok gingiva cijeli u miru.
Privremeni nadomjestak
Nakon cijeljenja (Slika 7.), pacijent ima priliku izraziti prijedloge za optimizaciju. Ljepota je u oku promatrača i kako bi svaki pacijent bio zadovoljan, treba uzeti u obzir njegove ideje i želje. Izrađuje se novi idealizirani privremeni nadomjestak koji je savršeno prilagođen pacijentici. Vrlo je važno u ovom koraku da se sve informacije točno prenesu dentalnom tehničaru. Zbog toga treba napraviti fotostatus i otisak preko zubi kada je pacijent zadovoljan jer je to jedini način da se osigura optimalan protok informacija.
Pričvršćivanje
Pacijentica je s obzirom na privremeno rješenje već imala predodžbu kako će se izgledati njezin novi osmijeh, ali dan kada se pričvršćuju restauracije vrlo je poseban za svakog pacijenta. Čim se ukloni privremeni nadomjestak i pričvrste pojedinačne krunice i ljuske, pacijenti shvaćaju da njihov dugoočekivani osmijeh u tom trenutku postaje stvarnost. Ako sada pogledamo osmijeh naše pacijentice, sažeto se može reći da je puno parametara koji utječu na estetiku i ako zanemarimo samo jednu točku, drastično je remetimo. Korekcijom gingive osmijeh dobiva prekrasan okvir koji igra odlučujuću ulogu kao dio ukupne slike.
Reference:
Izdanje: Cosmetic dentistry 2+3/2020
Literatura:
- 1. Strub JR, Kern M, Trüp JC; Witkowski S, Heydecke G, Wolfart S: Curriculum Prothetik:Band 2, 2010.
2. Wolfart S, Thormann H, Freitag S, Kern M: Assessment of dental appearance following changes in incisor proportions,
- Eur J Oral Sci. 2005 Apr;113(2):159-65, https://doi.org/10.1111/j.1600-0722.2005.00206.x.
3. https://books.google.de/books?id=LfKceJs9blUC&pg=PA122&lpg=PA122&dq=euklid+goldener+schnitt+zahnmedizin&source
- =bl&ots=eisuohXc3v&sig=ACfU3U2lulInQCY6_tvIp9UQ_m Vvz8nGDA&hl=de&sa=X&ved=2ahUKEwjIkunVjc3pAhXSqqQKHXNKBIwQ6AEwFXoECAoQAQ#v=onepage&q=
- euklid%20goldener%20schnitt%20zahnmedizin&f=false
4. Silberberg N, Goldstein M, Schmidt A, Excessive gingival display- etiology,diagnosis and treatment modalities,Quintesence, 2009,
- Vol. 40,809-818 .
5. Smukler H, Chaibi M: Periodontal and Dental Considerations in Clinical Crown Extension: A Rational Basis for Treatment,
- Int J Periodontics Restorative Dent. 1997 Oct;17(5):464-77.
Izvor: Dental Tribune International
MANGALORE, Indija: Digitalni dizajn osmijeha sve se češće oslanja na umjetnu inteligenciju (UI), što otvara pitanja ...
Zagreb, Hrvatska – Ortodoncija je ušla u novu eru zahvaljujući inovativnom sustavu SureSmile Aligner, koji je predstavljen hrvatskom tržištu na ...
Primjena socket shield tehnike
Estetski i funkcijski zadovoljavajuća i brza rehabilitacija nakon traume prednjih zubi predstavlja izazov za većinu ...
Webinar uživo
uto. 26 svibnja 2026
6:00 (CET) Zagreb
Webinar uživo
uto. 26 svibnja 2026
8:00 (CET) Zagreb
Webinar uživo
sri. 27 svibnja 2026
2:00 (CET) Zagreb
Webinar uživo
čet. 28 svibnja 2026
6:00 (CET) Zagreb
Dr. Anthony Viazis DDS, MS. Inventor & Founder of Fastbraces®
Webinar uživo
pon. 1 lipnja 2026
7:00 (CET) Zagreb
Webinar uživo
sri. 3 lipnja 2026
7:00 (CET) Zagreb
Webinar uživo
čet. 4 lipnja 2026
8:00 (CET) Zagreb
To post a reply please login or register