MALMÖ, Švedska: Određivanje dobi pojedinca ima ključnu ulogu u različitim medicinskim, pravnim i antropološkim kontekstima. Tradicionalno, razvojni stadij donjih trećih kutnjaka, posebno Demirjianov stadij H, bio je alat za takve procjene. Istraživači u Švedskoj proveli su sistematizirani pregled kako bi ispitali pouzdanost ove stomatološke metode sa statističkog, kliničkog, tehničkog i etičkog gledišta i otkrili veliki nedostatak znanstvenih dokaza o njezinoj valjanosti kao metodi procjene dobi.
Godine 1973. Demirjian i sur. uveli su metodu za procjenu kronološke dobi na temelju dentalne zrelosti razlikujući osam razvojnih faza (A – H) u formiranju zuba. U početku je metoda primijenjena na sedam trajnih zubi donje čeljusti, a kasnije je ugrađen osmi trajni zub, treći kutnjak. Ovaj zub posebno je značajan u forenzičkoj procjeni dobi za starije adolescente i mlade odrasle osobe.
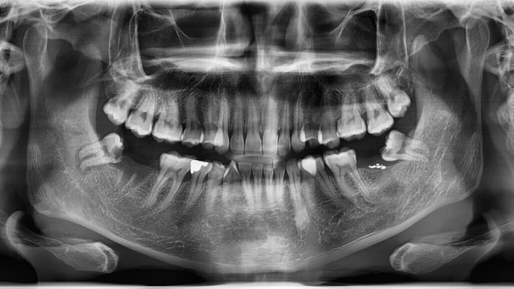
Demirjianove faze formiranja zuba ocjenjuju se s pomoću panoramskih rendgenskih snimki, a pravilno pozicioniranje pacijenta ključno je za snimanje kvalitetnih slika. Ove rendgenske snimke omogućuju stomatolozima da klasificiraju razvojni stupanj trećeg kutnjaka koristeći se referentnim skupovima podataka za procjenu kronološke dobi. Posebno treba istaknuti stadije G i H. U stadiju G, vrhovi korijena ostaju otvoreni, dok se u stadiju H zatvaraju, označavajući potpunu formaciju zuba. Dok čimbenici poput spola, etničke pripadnosti i genetike utječu na formiranje zuba, okolišni stres obično ima minimalan učinak, ali prehrana, epizode visoke temperature i određeni lijekovi mogu utjecati na morfogenezu zuba.
Istraživači sa Sveučilišta Malmö i Švedske agencije za procjenu zdravstvene tehnologije i socijalnih usluga nastojali su istražiti korelaciju između potpuno zrelog trećeg kutnjaka u donjoj čeljusti prema Demirjianovoj metodi i kronološke dobi. Ključno pitanje bila je pouzdanost primjene Demirjianova stupnja H za određivanje je li netko navršio 18 godina.
Pregled je uključivao petnaest istraživanja koja su obuhvatila trinaest zemalja i uključivala sudionike u dobi od tri do 27 godina. Nalazi su naglasili da je u dobi od osamnaest godina udio pojedinaca s donjim trećim kutnjakom u stadiju H bio u rasponu od 0 % do 22 % za muškarce i 0 % do 16 % za žene. Pregled nije mogao definitivno povezati Demirjianov razvoj stupnja H trećeg kutnjaka u donjoj čeljusti s kronološkom dobi, što ukazuje na to da je nepouzdano primjenjivati ovu metodu za određivanje je li netko mlađi ili stariji od 18 godina. Klinički je utvrđeno da se stope razvoja trećeg kutnjaka razlikuju između populacije, a njihova je prisutnost nedosljedna zbog kongenitalne odsutnosti ili drugih stomatoloških problema.
Iz tehničke perspektive, kvaliteta slike je ključna, ali rendgenske snimke mogu imati neprimjetna izobličenja koja utječu na pouzdanost. Napredne metode poput strojnog učenja mogle bi revolucionirati procjenu dobi u budućnosti, potencijalno nadmašivši tradicionalnu Demirjianovu metodu.
Etički gledano, upotreba zrelosti trećeg kutnjaka za procjenu dobi predstavlja probleme povezane s nedostatkom znanja, pristankom i potencijalnim dugoročnim posljedicama. Autori su predložili da buduća istraživanja osiguraju obuku promatrača i zasljepljivanje rendgenskih snimki.
Istraživanje pod nazivom “How old are you? A systematic review investigating the relationship between age and mandibular third molar maturity” (Koliko imaš godina? Sistematizirani pregled koji istražuje odnos između dobi i zrelosti trećeg kutnjaka u donjoj čeljusti”, objavljen je na internetu u svibnju 2023. u časopisu PLOS ONE.
FORT MYERS, Florida, SAD: Iako mnogi studenti shvaćaju da izbor životnog stila može imati utjecaj na oralno zdravlje, studenti manjinskih skupina često ...
LINKÖPING, Švedska: Rijetka su istraživanja usredotočena na čimbenike koji su povezani s dobrobiti i zdravim profesionalnim životom pružatelja ...
LEIPZIG, Njemačka: Umjetna inteligencija (AI) transformira zdravstvo u svim disciplinama, a stomatologija nije iznimka. Dok se njezina klinička primjena ...
Od 78 članaka identificiranih sustavnim pretraživanjem baze podataka, osam ih je ispunilo kriterije za uključivanje u studiju, uključujući procjenu ...
EDINBURGH, Škotska: Iako se mentalnom zdravlju stomatologa posvećuje sve veća pozornost nakon pandemije COVID-19, malo je istraživanja provedeno o ...
LIVERPOOL, UK: Nesigurnost u opskrbi zdravim namirnicama pogađa 17% kućanstava u Ujedinjenom Kraljevstvu, prema vladinom istraživanju iz 2023. godine. ...
STOCKHOLM, Švedska: Odavno je potvrđena povezanost lošeg oralnog zdravlja i povećanog rizika od sistemskih bolesti zbog čega je dobra oralna higijena ...
HONG KONG: Prema studiji Global Burden of Disease, karijes u ranom djetinjstvu pogađa otprilike 530 milijuna djece diljem svijeta, čime postaje jedno od ...
DUNDEE, Škotska: Značajna studija provedena u Ujedinjenom Kraljevstvu otkrila je da stres i iscrpljenost među stomatološkim osobljem uglavnom ...
Procjenjuje se da dentalna anksioznost pogađa gotovo jednu trećinu odraslih u svijetu, a to stanje dovodi do izbjegavanja posjeta stomatologu i ima ...
Webinar uživo
pon. 10 studenoga 2025
6:00 (CET) Zagreb
Dr. med. dent. Jancee Anton Vetter
Webinar uživo
pon. 10 studenoga 2025
8:00 (CET) Zagreb
Webinar uživo
uto. 11 studenoga 2025
6:30 (CET) Zagreb
Webinar uživo
sri. 12 studenoga 2025
5:00 (CET) Zagreb
Webinar uživo
sri. 12 studenoga 2025
6:00 (CET) Zagreb
Webinar uživo
sri. 12 studenoga 2025
9:00 (CET) Zagreb
Dr. Martina Hodgson ChD MJDF PGDip
Webinar uživo
čet. 13 studenoga 2025
6:00 (CET) Zagreb
To post a reply please login or register