Zahvaljujući značajnom porastu upotrebe implantata u dentalnoj medicini, metode regeneracije oralnog tkiva snažno su evoluirale posljednjih desetljeća. U budućnosti će ovo područje postati još važnije promjenom paradigme u implantoprotetici: ono što je izvorno bila funkcijski orijentirana intervencija postala je terapija s visokim estetskim standardima i minimalnom invazivnošću kao preduvjetom. U današnje vrijeme učinkovite metode regeneracije oralnog tkiva omogućuju pravilnu ugradnju implantata s protetskog stajališta, čak i u suboptimalnim uvjetima raspoložive kosti i unatoč nedostatku gingive
Regeneracija kosti desetljećima je bila u središtu istraživanja i danas se izvodi na odgovarajuće visokoj razini. Dugo se smatralo da meko tkivo jednostavno prati kost. To je do određene mjere točno, ali također shvaćamo da postoji veliki potencijal u samostalnom optimiziranju mekog tkiva. Možemo očekivati odlučujući napredak metoda regeneracije mekog tkiva u nadolazećim godinama. Istraživanje za dobivanje specifičnih dokaza je u tijeku i pružit će kliničarima vrijedne smjernice u budućnosti.
Integracija regeneracije oralnog tkiva u holistički pristup ima veliki potencijal u budućnosti. U ovom kontekstu, holistički znači prihvaćanje da usna šupljina nije odvojena od ostatka tijela, što ne treba brkati s ponekad dvojbenim tretmanima kojima nedostaju znanstveni dokazi. Međutim, čini se očiglednim da tijelo oslabljeno različitim čimbenicima pokazuje drugačiji obrazac ozdravljenja od onog kod savršeno zdravog pacijenta. Ako to uzmemo u obzir u regeneraciji oralnog tkiva, prema jasnim dijagnostičkim kriterijima može se poboljšati rezultat ovakvih zahvata i smanjiti komplikacije.
Drugi je trend povećana upotreba sofisticiranih tehnika regeneracije tkiva u očuvanju zubi. Tu na scenu stupa Zaklada za osteologiju. Organizacija je pravi stručnjak za regeneraciju oralnog tkiva, pokrivanjem svih relevantnih indikacija, uključujući liječenje tvrdih i mekih tkiva, razmatranje bioloških aspekata regeneracije i interdisciplinarne regenerativne pristupe. U ovoj ulozi specijalizirane organizacije nastojimo pratiti te trendove, bilo da se radi o postupcima usmjerenim na implantate ili postupcima očuvanja zubi.
Nacionalni osteološki simpoziji vrlo su važni u programu kontinuirane edukacije Zaklade za osteologiju. Godine 2023. Zaklada za osteologiju slavi svoju 20. obljetnicu s apsolutnim vrhuncem godine: Međunarodnim osteološkim simpozijem koji će se održati od 27. do 29. travnja u Barceloni u Španjolskoj. Simpozij će pružiti relevantna teorijska i praktična znanja svim zainteresiranima, uključujući studente, liječnike opće prakse i iskusne specijaliste. Ovaj događaj jedinstvena je prilika za udubljivanje u uzbudljiv svijet regeneracije. Najpriznatiji svjetski stručnjaci podijelit će svoja znanja mnoštvom predavanja i praktičnih radionica. Okrugli stolovi, prikazi slučajeva i izložba postera omogućit će vrlo raznolik program.
Više informacija o programu, radionicama, natjecanju u slučajevima i izložbama plakata kao i registracija dostupni su na stranici: osteology-barcelona.org.
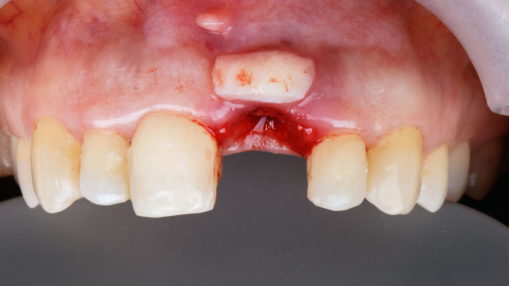
Može li augmentacija mekog tkiva oko implantata utjecati na uspjeh implantoprotetske terapije u smislu očuvanja kosti i estetike?
Odgovor na ovo pitanje ...
HONG KONG: Stomatolozi su dobro upoznati s negativnim učincima koje stres može imati na usnu šupljinu; međutim, nedavno provedeno istraživanje tima sa ...
Kao što svi znamo, stomatologija je posvećena razumijevanju procesa u usnoj šupljini, međučeljusnih odnosa, sanaciji karijesa, rekonstrukciji ...
ZAGREB, Hrvatska: Stomatološki fakultet Sveučilišta u Zagrebu s pravom nosi epitet najbolje visokoškolske institucije u području dentalne medicine u ...
Berlin – U Europskoj uniji izdaci za liječenje oralnih bolesti iznosili su oko 90 milijardi eura u 2015. godini, treći najveći iznos za ...
DALLAS, SAD: Prema podacima vladina istraživanja iz 2019. godine, oko 29 milijuna Amerikanaca godišnje posjeti stomatologa, ali nijednog drugog ...
Dana 24. svibnja 2025. Zagreb je bio domaćin prvog izdanja dugoočekivane regionalne konferencije „Žene u stomatologiji”, koja je u potpunosti ...
Od 9. do 12. rujna 2025. u Šangaju u Kini održan je FDI-jev Svjetski stomatološki kongres (FDI World Dental Congress), najveći i najznačajniji ...
UMEÅ, Švedska: Orofacijalna bol, uključujući bol povezanu s temporomandibularnim poremećajem (TMD), česta je kronična tegoba koja pogađa 10 do 15 % ...
U prvom broju Dental Tribune Hrvatska u ovoj godini prvi put uvodimo novi urednički format Dijalog struke i znanosti. U razgovorima s relevantnim ...
WASHINGTON, SAD: Plastika je prisutna u svim segmentima suvremene dentalne skrbi — od kompozitnih ispuna do jednokratnih usisnih nastavaka. Ipak, sve ...
Webinar uživo
pon. 11 svibnja 2026
6:00 (CET) Zagreb
Webinar uživo
pon. 11 svibnja 2026
7:00 (CET) Zagreb
Webinar uživo
uto. 12 svibnja 2026
7:00 (CET) Zagreb
Webinar uživo
čet. 14 svibnja 2026
6:00 (CET) Zagreb
Webinar uživo
čet. 14 svibnja 2026
8:00 (CET) Zagreb
Prof. Hani Ounsi DDS PhD FICD
Webinar uživo
uto. 19 svibnja 2026
5:00 (CET) Zagreb
Webinar uživo
uto. 19 svibnja 2026
7:00 (CET) Zagreb
Prof. Dr. med. dent. Ivo Krejci
To post a reply please login or register