Estetsko zatvaranje medijalne dijasteme predstavlja određeni izazov za kliničara. U radu se pokazuje kako je taj izazov riješen zahvaljujući planiranju uz pomoć mock upa i razumijevanju kako oblikovati novi izlazni profil primjenom odgovarajuće tehnike.
Ako se prilikom zatvaranja dijasteme uzmu u obzir prirodne morfološke proporcije zubi, kompozitne restauracije integrirat će se neprimjetno u ostatak denticije. S pacijentom bi trebalo razgovarati na samome početku o planiranoj terapiji i po mogućnosti sve potkrijepiti izradom mock upa jer se tako može trodimenzionalno prikazati očekivani rezultat koji pacijent može pregledati i procijeniti.
Da bi se mock up struktura učinila što prirodnijom, treba voditi računa o tome da se upotrebljava zasićenija i neprozirnija boja. Tako se izbjegavaju sivkasti efekti, a zubi se proširuju na prirodan način.
Još jedan važan aspekt prirodnog izgleda kod demonstracije je morfološki integritet. On se može odgovarajući način prenijeti samo ako postoji prirodni izlazni profil u skladu s ukupnim izgledom. Kompozit se u tu svrhu može nanijeti na mezijalna gingivna područja da bi se zub činio duljim i širim. To je najbolje učiniti tekućim kompozitom koji se može optimalno rasporediti na sluznici ako je prethodno dobro osušena.
Mock up je također važno pomoćno sredstvo za kliničara jer omogućuje procjenu proporcionalnih odnosa. Ljudska mašta nije u stanju mentalno projicirati zatvorenu dijastemu. Štoviše, u mnogim slučajevima očekivali bi se neproporcionalni i preširoki zubi. Ovaj test može se provesti s pomoću Slika 1.a i b. Ako se zamisle prošireni sjekutići, čini se da bi rezultat bi bio širok, zaobljen oblik. Ako se usporedi sa završnom slikom ovog slučaja, postaje jasno da su nastale potpuno drugačije proporcije.
Prikaz slučaja
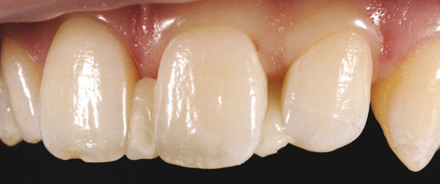
Pacijent je fotografirao svoju situaciju i pitao za savjet o tome je li moguće zatvoriti dijastemu kompozitom. Da bi se predvidio očekivani rezultat retuširana je fotografija koju je pacijent predao u svrhu konzultacija. Već u ovoj fazi uzeto je u obzir preoblikovanje izlaznog profila. Početnu situaciju karakterizirala je medijalna dijastema sa zdravom gingivom (Slika 2.). Bočni pogled otkrio je dodatne dijasteme na zubu 12 distalno i 22 jasno mezijalno (vidi Slike 1.a i b).
Trebalo bi poduzeti sljedeće pripremne korake: Kao tehničko pomagalo izrađuje se "tehnička i funkcijska nadogradnja". U tu se svrhu kompozit nanosi s palatinalne strane na nenajetkane površine zubi čime se zatvaraju dijasteme i materijal se zatim polimerizira (Slika 3.). U čvrstom stanju mogu se izvesti funkcijske kretnje i ubrušavanje. Zatim se nadograđene strukture mogu ukloniti.
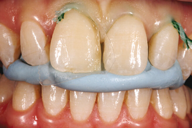
Završeni palatalni "tehnički mock up" otiskuje se silikonom. Istodobno pacijent zagriza u silikon kako bi se omogućila fiksacija za daljnje radne korake (Slika 4.). Na mezijalnu stranu zuba 11 kao primarna nadogradnja nanosi se tekući sloj Inspiro S3 (neprozirni materijal) do subgingivnog područja. Tako se može oblikovati izlazni profil koji odgovara proširenju. Kroz silikonski ključ i njegov pritisak na postavljenu traku materijala omogućuje se reprodukcija palatinalne površine koja je prethodno oblikovana prema funkcijskim parametrima (Slika 5.).
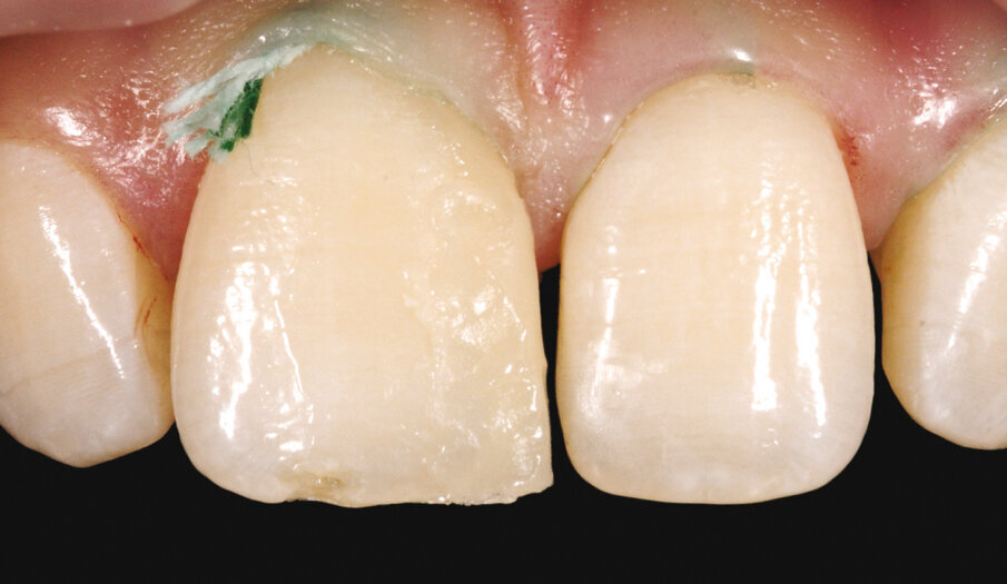
Preko primarnog sloja tekućeg kompozita nanosi se čvrsti kompozit Inspiro S3 (odgovara boji A2/A3), neprozirna dentinska boja. Interdentalno je načelno potrebno raditi s visoko zasićenim neprozirnim primarnim bojama, inače bi područje bi izgledalo sivkasto. Prozirne boje stvaraju sivkasti efekt. Sive boje stvaraju prostornu dubinu i stoga se uglavnom upotrebljavaju samo u gornjem sloju kako bi se zubu dao trodimenzionalni izgled. Ovi materijali mogu biti punjeni različitim česticama za zamućenje kako bi se uz translucenciju istovremeno postigla i određena vrijednost svjetline. To je učinjeno i u ovom slučaju. Ovdje je nanesen Ivory (Inspiro), bjelkasto-žućkasta mutna komponenta materijala (= SI) preko strukture izgrađene osnovnom bojom (Slika 6.).
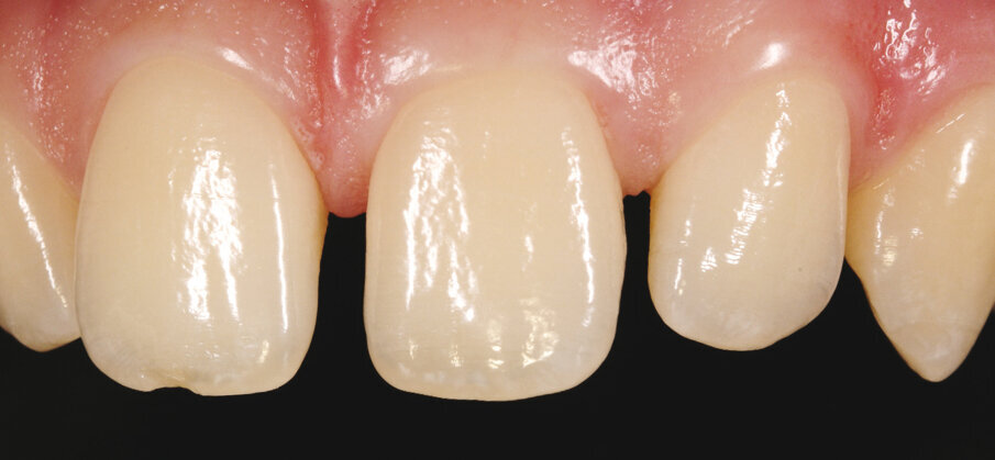
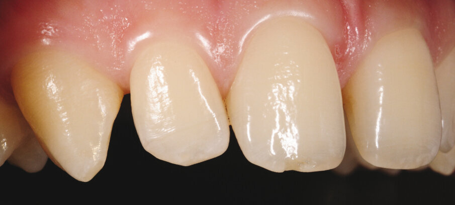
Istom tehnikom nadograđen je zub 21. Izravnom usporedbom lako se razlikuju različite boje. Mezijalni dio zuba 11 izgleda bjelkasto i svjetlije od nadogradnje mezijalne konture zuba 21. Treba uzeti u obzir i posvjetljenje prirodne boje uzrokovano dehidracijom zubi. To se mora uvijek uzeti u obzir tijekom izrade, a zatim i pri procjeni boje restauracije (Slika 7.). Stoga je konačna procjena integracija boje moguća tek naknadno.
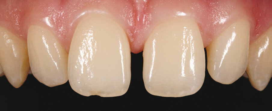
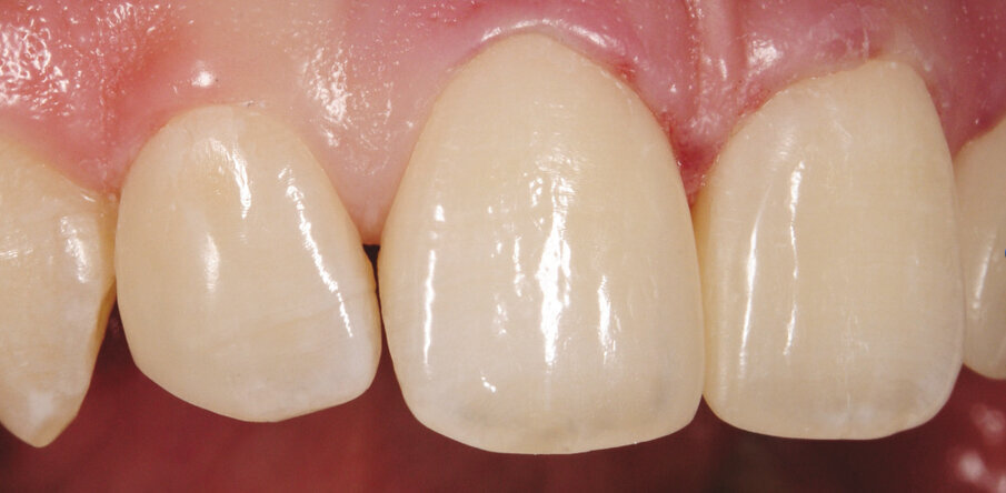
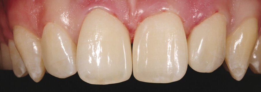
Višestruko zatvaranje dijastema s rezultirajućim novim proporcijama neprimjetno se integriralo u dentalno okruženje. Nakon dovršetka i poliranja mezijalni dijelovi koji definiraju konačni oblik ističu se refleksijom. Fotografija je snimljena neposredno nakon nadogradnje. Gingiva je i dalje iziritirana i regenerirat će se u interdentalnom području (slika 8.). Slike 9. i 10. prikazuju lateralni izgled, a Slika 11. konačni rezultat nakon terapije.
Zbog velike udaljenosti između pacijentova mjesta stanovanja i ordinacije, do sada nije ponovljeno fotografiranje restauracija. Međutim, može se reći da je vizualna integracija s obzirom na oblik uspjela. Zatvaranje dijasteme s aspekta prilagođenosti boje također se može smatrati uspješnim zahvaljujući upotrebi visoko zasićenog materijala.
1a. i b. Usporedba zatvaranja interdentalnog razmaka na zubu 12 distalno i 22 mezijalno.
2. Početni nalaz sa zdravom gingivom i medijalnom dijastemom.
3. Ispunjavanje dijastema kompozitom na nejetkanim površinama zuba.
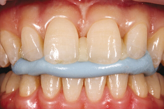
4. Pacijentov ugriz u silikon.
5. . Velikim pritiskom na traku postavljenu oko zuba omogućuje se reprodukcija palatinalne površine koja je prethodno dizajnirana u skladu s funkcijskim parametrima.
6. Slika nakon nanošenja sloja Ivory (Inspiro) preko strukture izgrađene osnovnom bojom.
7. Situacija nakon završetka modeliranja. Mora se uzeti u obzir posvjetljenje prirodne boje zuba uzrokovano dehidracijom.
8. Gingiva je još uvijek iziritirana.
9. i 10. Lateralni prikaz neposredno nakon nadogradnje
Zaključak
Suvremeni kompozitni sustav s jednostavnom sistematizacijom boja omogućuje stvaranje visoko estetskih restauracija. Planiranje s pomoću mock upa i razumijevanje kako oblikovati novi izlazni profil s pomoću adekvatne tehnike omogućuje suočavanje s izazovom zatvaranja dijasteme uz određenu sigurnost.
Ulf Krueger-Janson, dr. med. dent.
Oznake:
GUIYANG, Kina: Teški parodontitis i dalje predstavlja sve veće opterećenje za globalno oralno zdravlje. Najnoviji podaci studije Global Burden of Disease...
U prvom broju Dental Tribune Hrvatska u ovoj godini prvi put uvodimo novi urednički format Dijalog struke i znanosti. U razgovorima s relevantnim ...
EDINBURGH, Škotska: Iako se mentalnom zdravlju stomatologa posvećuje sve veća pozornost nakon pandemije COVID-19, malo je istraživanja provedeno o ...
PARIS, Francuska: Novo izvješće o stanju zdravstvene zaštite u EU-u otkrilo je da nedostatak radne snage i starenje stanovništva doprinose „promjeni ...
PARIZ, Francuska: Novo izvješće o stanju zdravstvene zaštite u EU-u pokazalo je da manjak radne snage i starenje populacije doprinose “promjeni ...
LONDON, UK: Dok svjetski čelnici nastavljaju s provođenjem programa cijepljenja i potiču javnost na cijepljenje, jedno je jasno: još uvijek ima ljudi ...
MARINGÁ, Brazil: Usne dolaze u raznim oblicima i veličinama, ali punije usne često se doživljavaju kao fizički dokaz mladosti i ljepote. U tu ...
MADRID, Španjolska: Novo istraživanje pruža uvjerljive dokaze o tome da su tretmani na bazi limunske kiseline, posebno oni u kombinaciji s kolagenom i ...
TRST, Italija: Većina pacijenata oboljelih od bolesti COVID-19 sama prijavljuje disfunkciju mirisa i okusa, što čini ove simptome bolesti među ...
Ljudska bića imaju potrebu emocionalno se povezati s drugima i biti autentični. U psihologiji se to smatra jednom od osnovnih potreba za preživljavanjem....
Webinar uživo
pon. 11 svibnja 2026
6:00 (CET) Zagreb
Webinar uživo
pon. 11 svibnja 2026
7:00 (CET) Zagreb
Webinar uživo
uto. 12 svibnja 2026
7:00 (CET) Zagreb
Webinar uživo
čet. 14 svibnja 2026
6:00 (CET) Zagreb
Webinar uživo
čet. 14 svibnja 2026
8:00 (CET) Zagreb
Prof. Hani Ounsi DDS PhD FICD
Webinar uživo
uto. 19 svibnja 2026
5:00 (CET) Zagreb
Webinar uživo
uto. 19 svibnja 2026
7:00 (CET) Zagreb
Prof. Dr. med. dent. Ivo Krejci
To post a reply please login or register