Za očuvanje volumena alveolarnog grebena (Ridge preservation), nakon vađenja zuba, mogu se koristiti različite tehnike. Očuvanje grebena može se obaviti u dvije faze, a koje se provode tako da se prvo napravi augmentacija ekstrakcijskih alveola koštanim materijalom različitog podrijetla, a zatim se konvencionalno ugradi implantat nakon faze cijeljenja. Drugi način je imedijatna implantacija u kombinaciji s augmentacijom praznog područja između implantata i alveolarnog zida.
Dvogodišnje praćenje nakon djelomične ekstrakcije.
Autori: Dr.med., dr. med. dent. Snježana Pohl, dr. med. Mijo Golemac, dr. med. dent. Daniela Grgić Miljanić, dr. med. dent. Pantelis Petrakakis, prof. dr. med. Jelena Tomac
Zasad postoji vrlo malo znanja o superiornosti nekih materijala ili određenih postupaka za prezervaciju postekstrakcijske alveole. 18,28 Kao alternativa uobičajenim postupcima povećanja volumena alveolarnog grebena može se koristiti terapija djelomične ekstrakcije korijena (PET), kod koje se bukalni dio korijena priprema pomoću takozvane tehnike "Socket-Shield-Techniqe" (SST) ili se nakon uklanjanja kliničke krune po tehnici "Root-Submergence-Techniqe" (RST) korijen ostavlja u alveoli.
Ove tehnike se temelje na spoznajama od prije 80 godina, a to je da se resorpcija „Bundle bone“ kosti unutar ekstrakcijske alveole može spriječiti tako da se u alveoli ostavi korijen ili dio korijena. Na taj način možemo sačuvati elastična vlakna između zuba i koštanog alveolarnog zida kao i krvnu opskrbu okolnog tvrdog i mekog tkiva. 2, 6, 29
Ovaj postupak je zaboravljen sve dok Salama i sur. 2007. godine nisu objavili prikaz slučaj u kojem je prikazan most na implantatima kod kojeg je tvrdo i meko tkivo jako dobro očuvano ispod međučlana na mostu zbog djela korijena koji je ostavljen/sačuvan u alveoli. 23
Ova tehnika zadržavanja bukalnog djela korijena u alveoli, koja se naziva Socket Shield tehnika, se pokazala kao vrlo učinkovita za smanjenje resorpcije alveolarnog grebena nakon ekstrakcije zuba. 29
Ovaj prikaz kliničkog slučaja je primjer mjera očuvanja alveolarnog grebena u sklopu potpune implanto-protetske rehabilitacije u djelomično ozubljenoj maksili pomoću RST-a i SST-a, kao i augmentacijom autolognim dentinskim graftom.
Slika 1: Početna situacija kod pacijenta – ekstraoralno.
Slika 2: Početna situacija kod pacijenta – intraoralno.
Situacija pacijenta
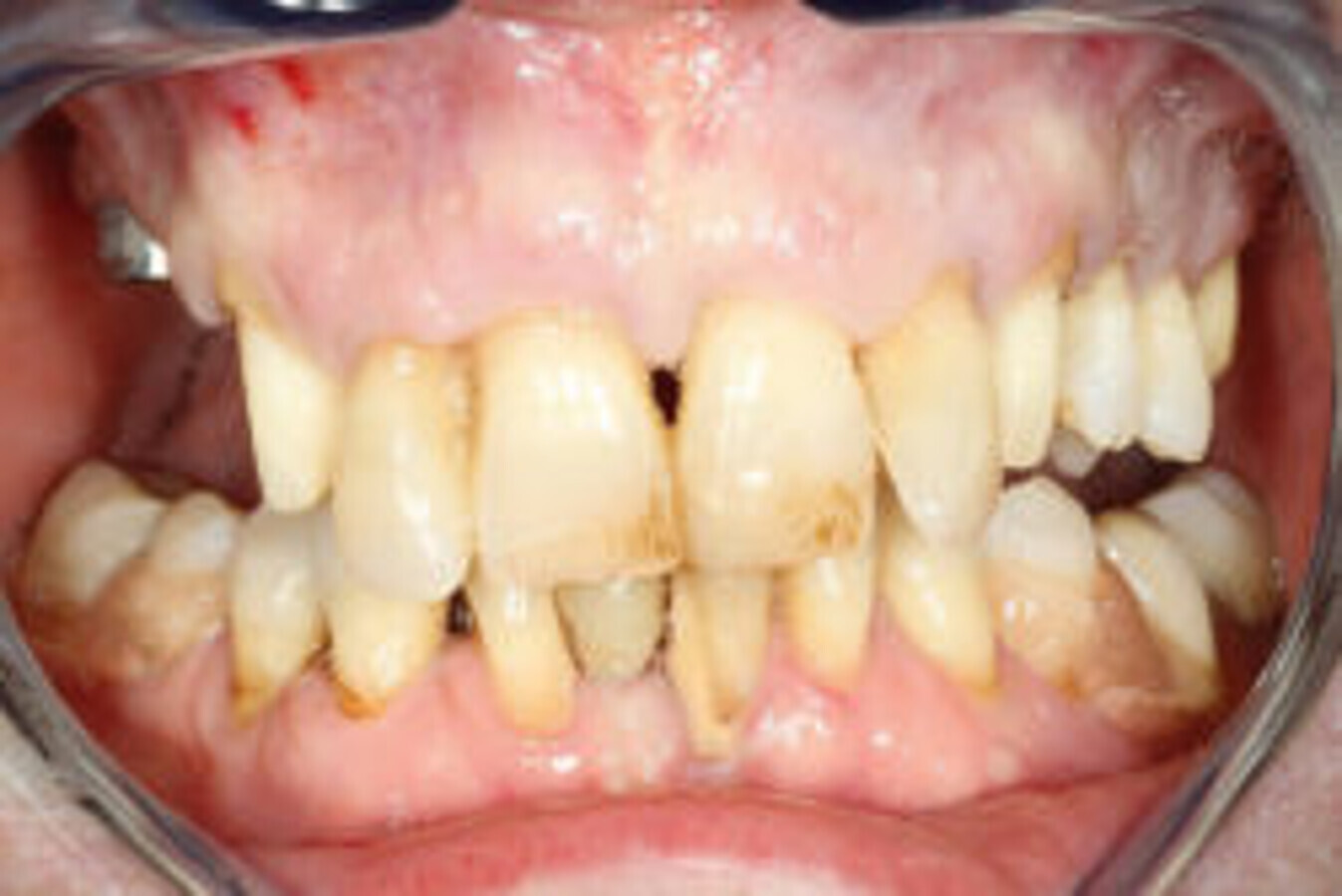
58-godišnjakinja, nepušačica i sistemski zdrav pacijent kojeg je njen doktor dentalne medicine uputio u naš centar radi implanto-protetske terapije. Pacijenticu je uglavnom smetala loša estetika u gornjem frontalnom području, koje je karakterizirala visoka linija osmijeha i izražene anomalije položaja zuba (Slike 1. i 2.), kao i funkcionalna ograničenja kao posljedica neugode prilikom žvakanja. Tri zuba su nedostajala u gornjoj distalnoj regiji i to zubi 17, 15 i 27 koji nisu bili protetski opskrbljeni, dok je u donjoj čeljusti u distalnoj regiji nedostajalo pet zuba s obje strane u području premolara te su oni zamijenjeni djelomičnom mobilnom protezom. Svi preostali zubi u gornjoj i donjoj čeljusti bili su prema klasifikaciji „Proceedings of the World Workshop on the Classification of Periodontal and Peri-implant Diseases and Conditions 2017“ imali parodontitis stadija IV, a prosječna dubina sondiranja parodonta je bila 5,6 mm. 7 Prosječni indeks krvarenja (BOP) i srednji indeks plaka (PI) bili su 70 odnosno 80 posto. S obzirom na paradontološke parametre i mjere oralne higijene (vidljivi kamenac i naslage), oralna higijena pacijentice klasificirana je kao loša. Pacijentica je u drugoj ordinaciji liječena s dva implantata u desnoj maksilarnoj stražnjoj regiji kako bi se zamijenili prvi pretkutnjak i prvi kutnjak (Slika 3). Prema definiciji koju je Weißgold uveo 1977. godine, pacijent ima debeli biotip. 26
Slika 3. Inicijalni rendgenski nalazi prije početka liječenja.
Dijagnostika i plan liječenja
Nakon razgovora s pacijenticom i pismenog pristanka, odlučili smo se na potrebnu inicijalnu terapiju, odnosno prvo napraviti implanto-protetsku rehabilitaciju u gornjoj čeljusti s kirurškim pristupom u dvije faze.
Inicijalna terapija sastojala se od sustavnog parodontnog liječenja i redovitih kontrolnih pregleda s uputama i provjerama higijene zuba u razdoblju od tri mjeseca. Prva faza rehabilitacije maksile sastojala se od PET-a zajedno s postavljanjem implantata tipa 1.
U regijama dva lateralna maksilarna sjekutića 12 i 22 prema uputama iz „Proceedings of the Fourth ITI Consensus Conference (Chen et al., 2009)“ i očuvanjem grebena u lijevoj premolarnoj regiji (zubi 24 i 25) uporabom dentinskog grafta, dobivenog od dva izvađena lijeva maksilarna premolara. Zbog povećanog stupnja nestabilnosti zuba i jer se pomoću digitalne volumenske tomografije (CRANEX 3D Ceph, Soredex, KaVo Kerr) pokazalo da je bukalna kost vrlo tanka procijenjeno je da dva središnja maksilarna sjekutića 11 i 21 nisu prikladna za „Socket Shield“ tehniku (Slika 4). Umjesto toga, planiran je RST za oba sjekutića, kako bi se spriječila resorpcija bukalne koštane lamele i gubitak volumena alveolarnog grebena kao posljedica vađenja zuba.
Oba korijena trebala su olakšati fiziološki dizajn međučlanova na definitivnom protetskom radu. Samo dva gornja očnjaka su nakon parodontološke evaluacije klasificirani kao vrijedni očuvanja.
Prvi lijevi kutnjak 26 sačuvan je kako bi zajedno s dva očnjaka služio za stabilizaciju fiksnog provizorija tijekom faze cijeljenja.
Brušenje kruna tri preostala zuba napravljeno je prije kirurškog zahvata, kako bi se privremeni rad za imedijatnu privremenu opskrbu mogao pripremiti prije prvog kirurškog zahvata. Drugi kirurški korak bilo je postavljanje implantata u regiju 24 te dodatni zahvati uz PET tehniku na zubu 26. Mjere na zubu 26 uključivale su SST meziobukalnog korijena, RST distobukalnog korijena i ekstrakciju palatinalnog korijena, koje je bilo potrebno napraviti neposredno prije ugradnje implantata. Definitivna protetska restauracija s fiksnim mostovima provedena je nakon tromjesečnog transgingivnog cijeljenja implantata primjenom konvencionalnog protokola. 11
Slika 4. DVT (digitalna volumenska tomografija (njem.) = CBCT cone beam CT) slika pokazuje vertikalni gubitak kosti i malu debljinu bukalne kosti u području dva središnja maksilarna sjekutića.
Postupak kirurškog zahvata
Oba kirurška zahvata obavljena su pod lokalnom anestezijom. Jedan sat prije zahvata pacijentica je primila 2 mg amoksicilina. Nakon kirurškog zahvata propisan je unos antibiotika od tri puta po 1 mg kroz period od pet dana.
Prva faza rehabilitacije gornje čeljusti uključivala je imedijatnu implantaciju u post-ekstrakcijske alveole dva bočna sjekutića, te je planirana SST napravljena samo na desnom bočnom sjekutiću.
Zbog povećane pokretljivosti zuba > 2, SST je bila kontraindicirana za lijevi bočni sjekutić i za oba premolara na lijevoj strani. Kliničke krunice dva središnja sjekutića su bile uklonjene, a korijene se pažljivo skraćivalo okruglim dijamantnim svrdlom uz hlađenje pomoću sterilne fiziološke otopine sve dok oba cervikalna ruba korijena nisu bila na udaljenosti od 3,0 mm do ruba gingive (Slika 5). U području desnog bočnog sjekutića, priprema SST je izvedena kako je opisano u publikaciji od Gluckmana i kolega. 12 Nakon vađenja su pretkutnjaci mehanički očišćeni, osušeni, a zatim s uređajem Smart Dentin Grinder (KometaBio) usitnjeni prema preporukama proizvođača. 4
Autologni dentinski graft korišten je na mjestima implantacije u regiji 22 i u obje ekstrakcijske alveole pretkutnjaka na lijevoj strani (Slika 6). Implantacija se napravila u ekstrakcijskim alveolama oba bočna sjekutića s dva implantata (BEGO Semados® RSX, BEGO Implant System) duljine 13 mm i promjera 3,75 mm (Slika 7.). Završno, područja između implantata i zida ekstrakcijske alveole popunjene su dentinskim graftom te je sve pokriveno PRF membranom s "Poncho" tehnikom.25 Nakon pripreme bukalnog i palatalnog tunela, postekstrakcijske alveole lijevih pretkutnjaka i u alveoli zadržanih korijena lijevog središnjeg sjekutića prekrivene su pomoću PRF membrana, prema Choukrounovoj metodi (A-PRF, mektron) napravljene centrifugiranjem s 1300 o/min u trajanju od 13 minuta. 10 Korijen desnog središnjeg sjekutića pokriven je s transplantatom vezivnog tkiva (connective tissue graft; CTG) koji je dobiven iz nepčane sluznice u desnom kvadrantu. PRF membrane i CTG postavljeni su u pripremljeni bukalni i nepčani tunel te su fiksirani resorbirajućim šavovima od monofilamenta 5.0 (Serafast 5.0, Serag Wiessner) (Slika 8.). Postoperativna rendgenska snimka pokazala je da su korijeni središnjih sjekutića dovoljno skraćeni, implantati ispravno pozicionirani u ekstrakcijskim alveolama bočnih sjekutića, te da su ekstrakcijske alveole pretkutnjaka pravilno napunjene dentiskim graftom (Slika 9.).
Pacijentica je potom opskrbljena s fiksnim provizornim mostom (Slika 10). Tijek postoperativnog cijeljenja prošao je bez komplikacija. Tijekom drugog kirurškog zahvata, tri mjeseca nakon prve operacije, nije se mogao ustanoviti gubitak volumena alveolarnog grebena gornje čeljusti (Slika 11). Druga faza kirurškog zahvata izvedena je u stražnjoj lijevoj regiji gornje čeljusti s formiranjem mukoperiostalnog režnja. Nakon podizanja mukoperiostalnog režnja ustanovilo se vrlo dobro očuvanje koštanog volumena, što je potvrdilo uspješnost mjere očuvanja volumena alveolarnog grebena uporabom dentinskog grafta (Slika 12.).
Na zubu 26 je terapija djelomične ekstrakcije korijena (SST) provedena tako da se prvo uklonila klinička krunica, a zatim izveo SST meziobukalnog korijena i RST bukalnog korijena. Nakon ekstrakcije palatinalnog korijena, ležište implantata pripremljeno je u području septuma, pri čemu je istovremeno sinusna membrana podignuta primjenom protokola osseodenzifikacije s Densah svrdlima (Versah). 10
Nakon augmentacije dna sinusa pomoću Gen-Os (OsteoBiol) materijala, kolagenske kortiko-stanične koštane mješavine svinjskog podrijetla, postavljen je implantat duljine 13 mm i promjera 4,5 mm (BEGO Semados® RSX, BEGO Implant Systems).
Slika 5.
Slika 6.
Slika 7.
Slika 8.
Slika 9.
Slika 10.
Slika 11.
Slika 12.
Slika 13.
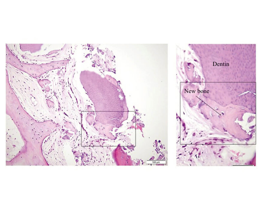
Slika 5. Klinička situacija nakon djelomičnog vađenja zuba 12, uklanjanja zuba 22 i potapanja korijena kod dva središnja sjekutića 11 i 21. Slika 6. Klinička situacija nakon uklanjanja dva pretkutnjaka 24 i 25 i očuvanje grebena pomoću autolognog dentina. Slika 7. imedijatna implantacija nakon stavljanja autolognog dentinskog grafta u ekstrakcijsku alveolu zuba 22. Slika 8. Klinička situacija nakon završetka prve kirurške faze. Slika 9. Kontrolni RTG-a nakon završetka prve kirurške faze. Slika 10. Fiksni privremeni protetski rad - Slika 11. Klinička slika nakon tromjesečne faze cijeljenja. Vidi se dobro očuvan volumen alveolarnog grebena. Slika 12. Klinička situacija tijekom drugog kirurškog zahvata. Vrlo je jasno vidljiva dobra regeneracija kosti zbog uporabe autolognog dentinskog grafta postiže se nakon stvaranja mukoperiostalnog režnja na lijevoj strani u području pretkutnjaka. Slika 13. Histološki nalazi pokazuju stvaranje nove kosti u bliskom kontaktu s česticama dentina.
Još jedan implantat duljine 13 mm te promjera 4,1 mm korišten je u području prvog lijevog pretkutnjaka. Kako bi se ocjenila remodelacija nakon augmentiranja alveolarnog grebena pomoću autologno dobivenog dentina, uzet je histološki uzorak s područja prvog pretkutnjaka tijekom pripreme implantata trepan borerom.
Histološka analiza pokazala je formiranje nove kosti u bliskom kontaktu s česticama dentina bez znakova upale ili fibrozne inkapsulacije autolognog augmentata (Slika 13.). Provedena je imunohistokemija za procjenu diferencijacije osteoblasta i stvaranja nove kosti. Novo stvaranje kosti potvrdili su osteoblasti, koji su otkriveni i označeni antitijelima Osterix (Anti-Sp7/Osterix-antitijela-Chip Grade, ab22552, Abcam). Svi implantati srasli su bez komplikacija u razdoblju od četiri mjeseca.
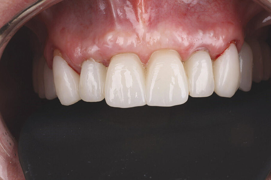
Protetska terapija
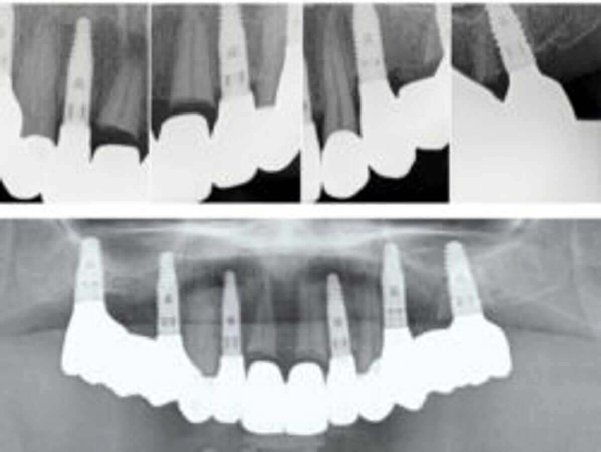
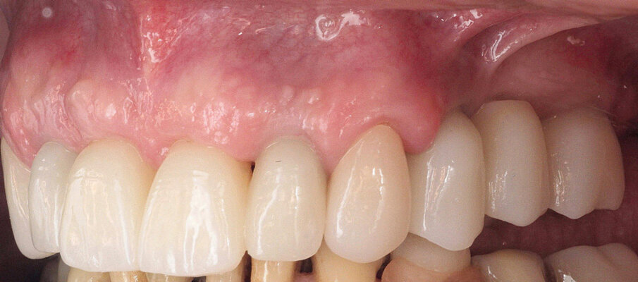
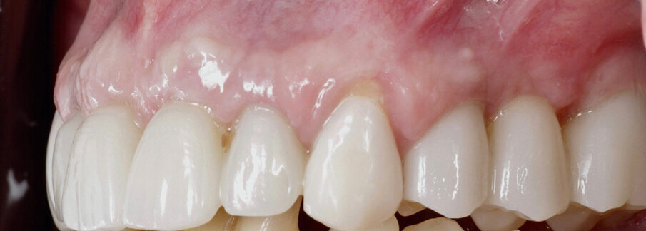
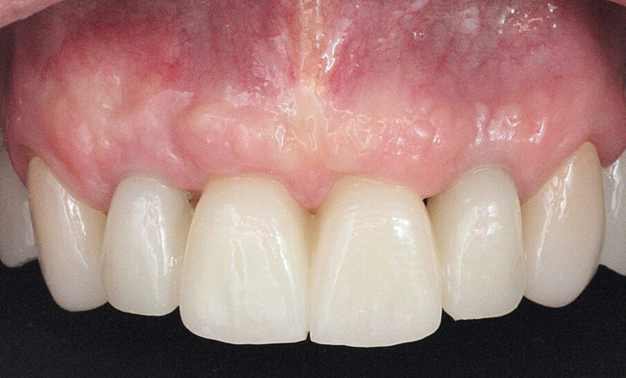
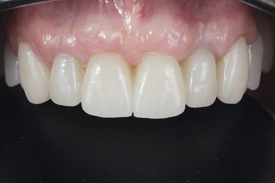
Definitivni protetski rad napravljen je nakon što je završila faza oseointegracije implantata s tri monolitna mosta od cirkonijevog dioksida (DD CubeX, Dental Direkt) proizvedenih CAD/CAM postupkom. Mostovi su pomoću vijaka pričvršćeni na titanske abutmente (PS TiB, BEGO Implant Systems) (Slike 14–16). Pravilan dosjed protetske nadogradnja se nakon umetanja potvrdio rendgenskom snimkom (Slika 17.). Kontrolni pregled nakon dvije godine u srpnju 2019. pokazao je izvrsno estetsko i kliničko stanje mekog tkiva (Slike 18–20). U području implantata radiografski se nije mogao utvrditi gubitak krestalne kosti (Slika 21.). Oba korijena središnjih sjekutića koji su ostavljeni u alveoli kao ni distobukalni korijen zuba 26 nisu pokazali nikakve znakove periapikalne upale. Pacijentica nije imala nikakvih pritužbi, a oralna higijena značajno se poboljšala tijekom razdoblja praćenja.
Slika 14.
Slika 15.
Slika 16.
Slika 17.
Slika 18.
Slika19.
Slika 20.
Slika 14. Frontalni prikaz definitivne protetske nadogradnje. Odnosi pokazuju dobru estetiku bez znakova komplikacija mekih tkiva Slika 15. Pogled na definitivni rad s desne strane. Slika 16. Pogled na definitivni rad s lijeve strane. Slika 17. Završna rendgenska slika s definitivnim implanto protetskim radom in situ. Slika 18. Frontalni prikaz definitivnog protetskog rada nakon dvogodišnjeg praćenja. Slika 19. Prikaz definitivnog protetskog rada s lijeve strane nakon dvogodišnjeg praćenja. Slika 20. Prikaz definitivnog protetskog rada s desne strane nakon dvogodišnjeg praćenja.
Diskusija
Glavni cilj pristupa liječenju bilo je maksimalno očuvanje volumena alveolarnog grebena kako iz estetskih tako i iz funkcionalnih razloga, a temeljilo se na publikaciji Schwimerove radne grupe.24
Pristup liječenja u dvije faze prilikom kojeg se zadržavaju prirodni zubi korišten je iz nekoliko razloga:
Imedijatna implantacija nakon vađenja zuba koje nije vrijedilo sačuvati bila je kontraindicirana u području premolara zbog lošeg parodontalnog stanja.
Fiksni protetski nadomjestak mogao se koristiti tijekom faze cijeljenja kako bi se optimiziralo stanje mekog tkiva. 19
Kirurško opterećenje, postoperativni morbiditet i dodatni troškovi za pacijenta mogli su se smanjiti primjenom terapije djelomične ekstrakcije korijena, protokolom osseodenzifikacije za ekspanziju i kondenzaciju kosti te podizanjem krestalnog sinusa, kao i autologno dobivenim dentinom kao materijalom za augmentaciju.
Kod naše pacijentice, RST oba središnja sjekutića odabrana su kako bi se spriječila resorpcija lamele bukalne kosti. Koncept RST-a temelji se na izvješćima iz ranih 1940-ih koja su pokazala da slomljeni korijeni mogu ostati u alveoli bez patoloških kliničkih simptoma ako su zaštićeni epitelnim pokrovom sluznice.2, 6 Budući da je kost postekstrakcijske alveole (Bundlebone), kao i Sharpeyeva vlakna očuvana, čini se da je koncept „Root Submergance“ obećavajuća tehnika za održavanje volumena alveolarnog grebena u kombinaciji s konvencionalnom protetskom terapijom.
Čini se da očuvanje parodontnih struktura dovodi do boljeg očuvanja okolnog tvrdog i mekog tkiva u usporedbi s uobičajenim tehnikama očuvanja zubnih alveola.9, 23 Svrha skraćivanja korijena je da se zadrži dovoljna debljina mekog tkiva od najmanje 3 mm između preostalog korijena i ruba gingive ili buduće baze međučlana na mosnoj konstrukciji te omogućiti čvrsto primarno zatvaranje pomoću transplantata vezivnog tkiva ili PRF membrane. Čvrsto zatvaranje primarne rane osnovni je uvjet za brzi proces cijeljenja i uspjeh RST-a. 20, 27
U kohortnoj studiji, Hinze i kolege pokazali su uspješno horizontalno i vertikalno očuvanje alveolarnog grebena korištenjem tehnike SST zajedno s imedijatnom implantacijom, bez pojave recesije ili povećane dubine sondiranja.15 Glavni problemi vezani uz SST tehniku još uvijek leže u tome da ima ograničen broj dokaza i potreba za randomiziranim kontroliranim studijama kako bi se omogućilo više znanja o uspješnosti ove tehnike temeljeno na dokazima.
Autologni dentinski graft dobio je na važnosti u posljednjem desetljeću kao alternativni materijal za augmentaciju u usporedbi s autologno prikupljenom kosti i ostalim materijalima za nadomjestaka kosti. Unatoč činjenici da su dentin acelularni matriks, kost i dentin vrlo slični po svojoj biokemijskoj strukturi. Sastoje se uglavnom od kolagena tipa I s faktorima rasta kao što su koštani morfogenetski protein-2 (BMP-2) i čimbenici rasta koje stvaraju fibroblasti. 3, 14 Dostupni histološki i klinički nalazi koji su se mogli uočiti nakon primjena tehnika za očuvanje volumena grebena autolognim dentinom u skladu su s nalazima trenutnih kliničkih studija, koje su pokazale dobro stvaranje nove kosti, povoljno cijeljenje rana i dobru dimenzionalnu stabilnost. Prilikom ponovnog otvaranja tijekom drugog kirurškog zahvata nakon tromjesečne faze cijeljenja, moglo se primijetiti vrlo dobro očuvanje dimenzije alveolarnog grebena u stražnjoj lijevoj regiji gornje čeljusti. Dostupni klinički i histološki rezultati potvrđuju prikladnost autolognog dentinskog grafta zbog njegove odgovarajuće dimenzijske stabilnosti i njegovih osteokonduktivnih i osteoinduktivnih sposobnosti kao materijala za očuvanje i povećanje volumena alveolarnog grebena. U ovom slučaju, provedena je priprema mjesta implantacije u području molarnog septuma nakon djelomične ekstrakcije prvog desnog maksilarnog kutnjaka i istovremenog transkrestalnog podizanja sinusa primjenom protokola osseodenzifikacije pomoću Densah svrdala.16 Pokazalo se da osseodenzifikacija povećava mineralnu gustoću kostiju, kontakt kosti s implantatom i poboljšava primarnu stabilnost implantata u usporedbi sa standardnim protokolima bušenja. 16, 21 No, s obzirom na trenutno ograničen broj dugoročnih studija, ovu tehniku treba koristiti s oprezom.1, 12
Glavni problemi SST tehnike je osjetljivost ove metode i potreba za randomiziranim kontroliranim ispitivanjima kako bi se omogućio prijenos ove tehnike u rutinsku stomatološku praksu na temelju znanja utemeljenog na dokazima.
Ovaj prikaz slučaja ima za cilj potaknuti uporabu različitih tehnika očuvanje alveolarnog grebena koje se koriste kao alternativa konvencionalnim kliničkim metodama. Odgovarajući prikazi slučajeva pacijenata planiraju se predstaviti u budućim publikacijama.
Slika 21. Rendgenska slika nakon dvogodišnjeg praćenja. Na području zadržanih/očuvanih korijena ne može se vidjeti gubitak krestalne kosti oko implantata niti znakovi periapikalnog parodontitisa.
Kontakt:
Dr.med., dr.med. dent. Snježana Pohl
Poliklinika Rident
Naslovni asistent pri Katedri za oralnu medicinu i
parodontologiju Medicinskog fakulteta Sveučilišta u Rijeci
Može li augmentacija mekog tkiva oko implantata utjecati na uspjeh implantoprotetske terapije u smislu očuvanja kosti i estetike?
Odgovor na ovo pitanje ...
ZAGREB, Hrvatska: Stomatološki fakultet Sveučilišta u Zagrebu s pravom nosi epitet najbolje visokoškolske institucije u području dentalne medicine u ...
UMEÅ, Švedska: Orofacijalna bol, uključujući bol povezanu s temporomandibularnim poremećajem (TMD), česta je kronična tegoba koja pogađa 10 do 15 % ...
WASHINGTON, SAD: Plastika je prisutna u svim segmentima suvremene dentalne skrbi — od kompozitnih ispuna do jednokratnih usisnih nastavaka. Ipak, sve ...
GUIYANG, Kina: Teški parodontitis i dalje predstavlja sve veće opterećenje za globalno oralno zdravlje. Najnoviji podaci studije Global Burden of Disease...
CHARLOTTE, SAD: CEREC na DS Coreu pojednostavljuje tijek rada u ordinaciji za timove koji započinju s digitalnom stomatologijom. Rješenje u oblaku (cloud)...
Edukacija
Webinar uživo sri. 3 lipnja 2026 7:00 (CET) Zagreb
Međunarodni sajam dentalne medicine Dentex, od 21. do 23. svibnja 2026. godine, ponovno potvrđuje status regionalnog predvodnika dentalne industrije. ...
CHENGDU, Kina: Razvoj korijena zuba ovisi o preciznoj međustaničnoj komunikaciji. Istraživači iz Kine pokazali su kako dva gena, Gli2 i Gli3, djeluju ...
To post a reply please login or register